“医生、医生,快点!快点!”附近工地的工人张某劳作时从高处跌落导致全身多处损伤、左腿畸形并且伤口流血不止,急诊医师立即反应,迅速接诊,做好急救处理。
急抢救!粉碎性骨折治疗
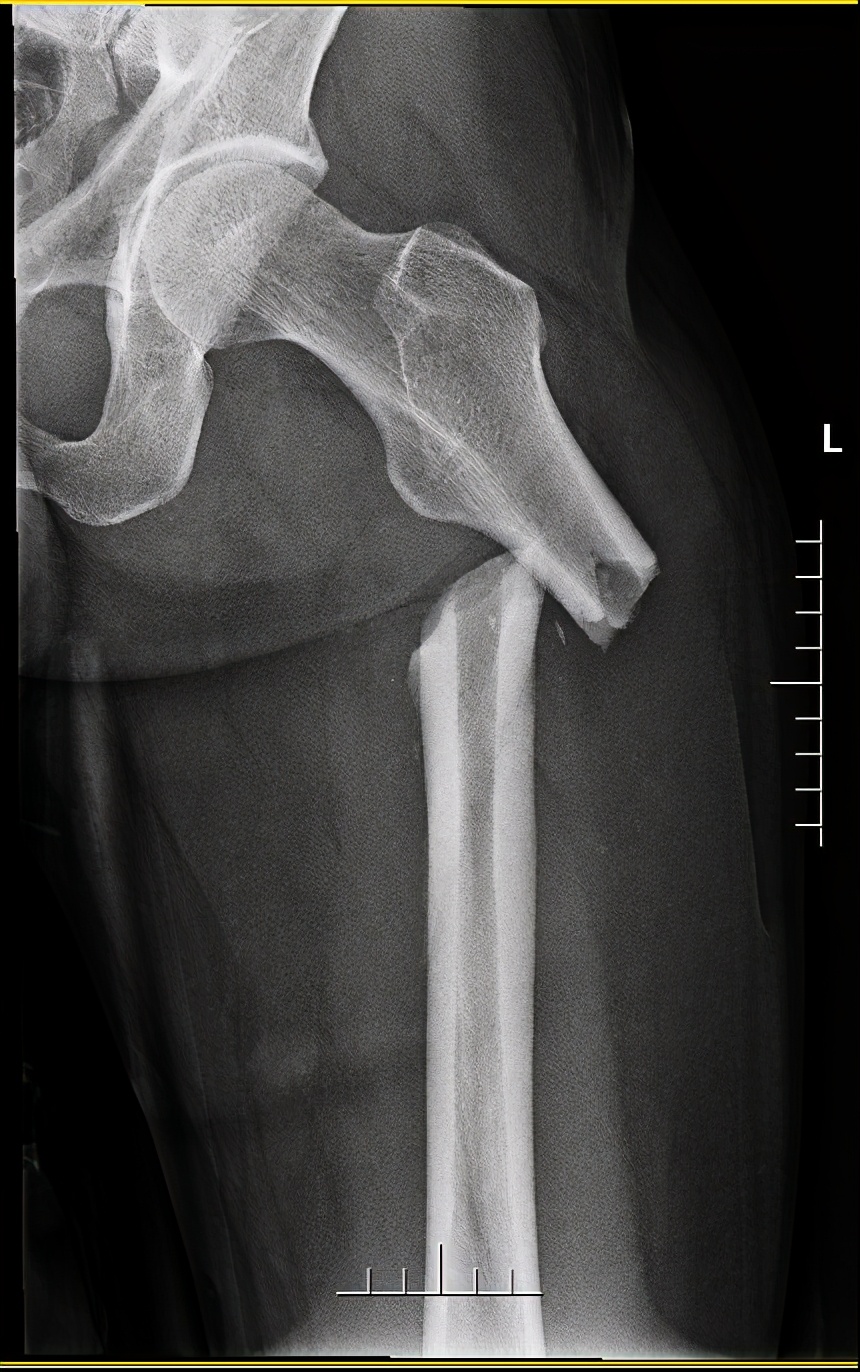
创伤小组立即全面检查病人情况并作出针对性的检查,初步诊断患者左侧开放性粉碎性胫腓骨骨折伴有左胫前动脉损伤及局部肌腱断裂,同时有左股骨干粉碎性骨折和肺挫伤。多处骨折出血量大,血管损伤又导致左足供血不足,若得不到及时的救治,患者随时面临着截肢甚至死亡的威胁。
经过多学科会诊后,骨科潘刚明主任医师、董君博副主任医师及其治疗小组作为主诊团队协同急诊科、手术室、输血科、检验科、影像科等科室完成全面的完善术前准备并展开手术治疗。
术中,患者骨折得到初步固定、血管卡压解除、肌腱断裂缝合、开放伤口闭合,在医护团队的精心治疗下,患者生命体征稳定、肢体血运转好,初期的治疗效果也使患者对骨科医护团队有充分的信任,但是患者的心理状态不佳,正值壮年的他不敢想象如果他肢体残废、无法工作,如何支持贫困的家庭?
高技术!以锦旗表心意
结合患者的病情及患者的心理状态,潘刚明主任、董君博副主任医师、鲜安福护士长一方面多次组织团队成员,遵照微创手术技术理念(MIPPO)、损伤控制外科(DCS)理念及快速康复(ERAS)理念,制定个性化的手术、护理方案,并反复耐心地向患者说明病情及良好预期、做好心理疏导使患者配合治疗。在多科室配合及医患协作下,左股骨粉碎性骨折的微创闭合复位内固定手术及左胫腓骨粉碎性骨折微创经皮复位内固定术顺利完成。
治疗团队用最小的手术创伤及最小的并发症发生几率换来了患者的顺利康复,患者尚未出院已经能自行拄拐行走。医疗团队给他的不仅仅是病痛的治愈,更是生活的信心。他亲笔写了一封感谢信,并赠送锦旗,表达他对医院、对医护的感谢,对整个医疗团队的赞誉!
科室介绍
前海人寿广州总医院骨科将不断完善骨科诊治体系建设,规范院前、院内救治流程;强化院前与院内信息交换,不断提高临床技术及科研水平,进一步降低严重骨创伤病人的死亡率和致残率,切实造福于社会和人民。
免责声明:市场有风险,选择需谨慎!此文仅供参考,不作买卖依据。
头条 21-12-17
头条 21-12-17
头条 21-12-15
头条 21-12-15
头条 21-12-15
头条 21-12-15
头条 21-12-15
头条 21-12-15
头条 21-12-15
头条 21-12-15
头条 21-12-15
头条 21-12-15
头条 21-12-15
头条 21-12-15
头条 21-12-15
头条 21-12-15
头条 21-12-15
头条 21-12-15
头条 21-12-15
头条 21-12-15
头条 21-12-15
头条 21-12-15
头条 21-12-15
头条 21-12-14
头条 21-12-14
头条 21-12-14
头条 21-12-14
头条 21-12-14
头条 21-12-14
头条 21-12-14
头条 21-12-14
头条 21-12-14
头条 21-12-14
头条 21-12-14
头条 21-12-09
头条 21-12-08
头条 21-12-07
头条 21-12-06
头条 21-11-30
头条 21-11-26
头条 21-11-25
头条 21-11-24
头条 21-11-23
头条 21-11-23
头条 21-11-23
头条 21-11-19
头条 21-11-19
头条 21-11-18
头条 21-11-18
头条 21-11-17
头条 21-11-16
头条 21-11-16
头条 21-11-15
头条 21-11-15
头条 21-11-15
